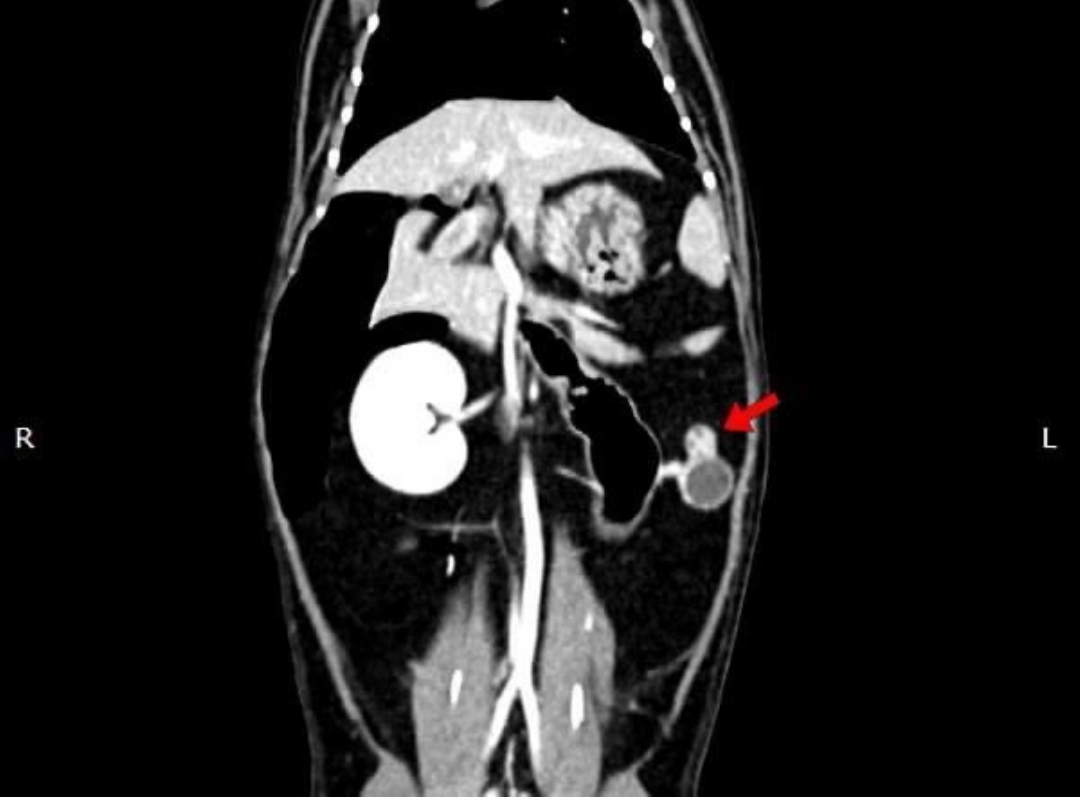
在他院絕育後仍有發情現象,轉院至築心,經由電腦斷層掃描確認後手術。
寵物跟人類一樣,一生中經歷生老病死 在老年階段,很多慢性疾病往往是無法治癒,需要長期治療與照護 築北提供狗狗貓咪的長照空間,減輕家人在慢性病居家醫療照護上的負擔 長照空間也適合術後復健、短期照護的毛孩 毛家長有時候會因為工作需求或是短期旅遊,需要寵物保母短期到府基礎照護本院備有醫護人員提供寵物保母到府服務