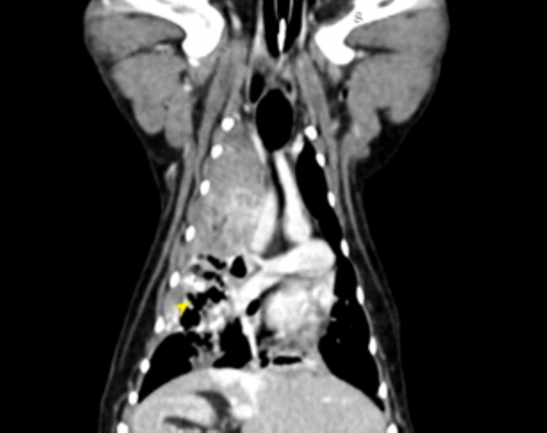
狗狗 肺臟腫瘤 Pulmonary carcinoma
持續數月的咳喘 他院懷疑心臟問題轉診來築心,經由電腦斷層掃描及胸腔採樣
確診為惡性腫瘤,由於腫瘤已經擴散不適合外科手術,主人最後決定使用化療延長壽命


寵物跟人類一樣,一生中經歷生老病死
在老年階段,很多慢性疾病往往是無法治癒,需要長期治療與照護
築北提供狗狗貓咪的長照空間,減輕家人在慢性病居家醫療照護上的負擔
長照空間也適合術後復健、短期照護的毛孩
毛家長有時候會因為工作需求或是短期旅遊,需要寵物保母短期到府基礎照護
本院備有醫護人員提供寵物保母到府服務