築心電腦斷層影像診斷 簡介 2
良好的醫療設備,需要經由專業的臨床獸醫師評估下合理使用。
希望藉由完整的醫療設備可以幫助大新竹地區的毛孩,得到最好的醫療照護。
以下為近期轉診來築心 電腦斷層掃描的病例

腹腔團塊採樣、術前評估、治療計畫擬定

肝臟團塊,評估範圍、手術可行性、肝臟採樣

IVDD、定位病灶、擬定手術計畫
眼周團塊、定位病灶、採樣、評估治療計畫

貓骨肉瘤、術前評估治療計畫
右上顎腫脹、採樣、評估治療計畫

PSS、診斷、評估手術


骨盆骨折、評估手術計畫
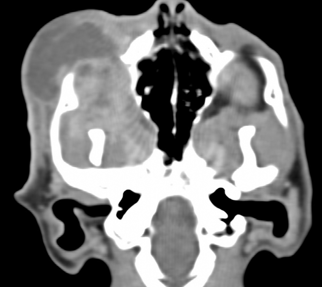
鼻腔疾病、鼻腔鏡探查、採樣、評估治療計畫

後縱膈腔團塊、採樣、評估治療計畫

